Операції на коліні: артроскопія, зв’язки та ендопротези
Ми лікуємо травми та артроз коліна артроскопічно або протезуванням, використовуючи індивідуальні імпланти й сучасні протоколи реабілітації.
Читати далі →
Ми лікуємо травми та артроз коліна артроскопічно або протезуванням, використовуючи індивідуальні імпланти й сучасні протоколи реабілітації.
Читати далі →
Застосовуємо цементні та безцементні системи, короткі ніжки для молодих пацієнтів і персоналізовані підходи після остеотомій.
Читати далі →
Команда кистьових хірургів поєднує мікрохірургію, артроскопію та індивідуальні ортези, щоб повернути функцію пальців і зап’ястя.
Читати далі →
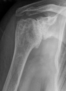
Розриви манжети, звичні вивихи, переломи ключиці й головки плеча лікуємо у три етапи: діагностика, малоінвазивна хірургія, персональна реабілітація.
Читати далі →
Пояснюємо, які операції доступні для різних анатомічних зон, як плануємо втручання та готуємо пацієнта до відновлення.
Читати далі →
Пояснили, як Ortoklinik використовує сучасні ультразвукові апарати для діагностики та малоінвазивних процедур, які суглоби обстежуємо і як готуватися.
Читати далі →