Лікування переломів гомілково-ступеневого суглоба

Переломи гомілково-ступеневого суглоба є одними з найпоширеніших та супроводжуються інтенсивним болем, набряком і втратою опороздатності. Детально розбираємо анатомію, класифікації, симптоми, діагностику, тактику лікування, реабілітацію та прогноз.

Загальні відомості

Переломи гомілково-ступеневого суглоба є одними з найпоширеніших серед усіх інших. Вони супроводжуються різким зменшенням якості життя внаслідок втратою опороздатності травмованої кінцівки та інтесивного больового синдрому. Відсутність або неправильність лікування може призвести до значних і довгострокових ускладнень.

Складність лікування обумовлюється типовим для цієї ділянки значним набряком, нерідко з фліктенами, необхідністю вибору оптимальної тактики лікування, яка відрізняється для кожного типу, та наявністю судинно-нервових пучків у ділянці оперативного доступу.

Значну частку переломів ділянки гомілково-ступеневого суглоба складають перелом пілона та Мезонева. Ці два види переломів відрізняються особливими складністю лікування та тяжкістю прогнозу при його відсутності. Нерідко зустрічаються переломи, поєднані із вивихом суглоба, що додатково ускладнює лікування та прогноз.

Кожен випадок травмування ділянки гомілково-ступеневого суглоба потребує консультації ортопедом-травматологом. У нашому Центрі давно та успішно займаються лікуванням як даного типу переломів, так і ускладнень та наслідків їх неправильного лікування.

Анатомія

Гомілково-ступеневий суглоб формується з трьох кісток: великогомілкова (tibia), малогомілкова (fibula) та таранна (talus). Кістки у свою чергу сполучаються синдесмозом (міжкісткова перетинка гомілки) та зв’язками.

Анатомія гомілково-ступеневого суглоба: кісткові структури
Анатомія гомілково-ступеневого суглоба: синдесмоз і зв’язки

Окремо вартує виділити деякі кісткові структури суглоба.

Медіальна, задня та латеральна кісточки гомілково-ступеневого суглоба

Це медіальна кісточка, задня кісточка (частина великогомілкової кістки) та латеральна кісточка (частина малогомілкової кістки). Вони є вкрай важливими, оскільки навіть незначне порушення анатомічної цілісності може призвести до значного зниження функції суглоба та погіршення якості життя.

Класифікація

Існує цілий ряд класифікацій переломів гомілково-ступеневого суглоба: Персиваля Потта, Даніса-Вебера, Лауж-Гансена тощо; також окремо виділяють перелом пілона, Фолькмана та Мезонева.

Однак найбільш інформативною та актуальною в контексті вибору методу лікування є класифікація АО/ОТА. Коротко розглянемо типи та підтипи пошкоджень гомілково-ступеневого суглоба:

  • Тип A: пошкодження розташоване нижче рівня синдесмозу.
    • A1: ізольована травма у ділянці латеральної кісточки.
    • A2: пошкодження латеральної кісточки та перелом медіальної кісточки.
    • A3: пошкодження латеральної кісточки та перелом задньої і медіальної кісточок.
  • Тип B: пошкодження відбувається на рівні синдесмозу.
    • B1: ізольований перелом малогомілкової кістки.
    • B2: перелом малогомілкової кістки та пошкодження медіальних структур.
    • B3: перелом малогомілкової кістки з пошкодженням медіальних структур та переломом задньої кісточки (перелом Фолькмана).
  • Тип C: пошкодження вище рівня синдесмозу.
    • C1: простий перелом малогомілкової кістки з пошкодженням медіальних структур чи переломом задньої кісточки.
    • C2: клиноподібний чи багатоуламковий перелом діафізу малогомілкової кістки зі значним пошкодженням медіальних структур.
    • C3: перелом малогомілкової кістки у проксимальному її відділі зі значним пошкодженням медіальних структур (перелом Мезонева).
Класифікація АО/ОТА переломів гомілково-ступеневого суглоба

Окремо вартує виділити переломи пілона. Він локалізується у нижній частині великогомілкової кістки; у переважній більшості випадків охоплює суглобову поверхню та становить найбільшу загрозу для опороздатності кінцівки. Цей тип зламу часто супроводжується переломом малогомілкової кістки.

Причиною перелому пілона є високоенергетичні травми, такі як дорожньо-транспортна пригода та падіння з висоти.

Перелом пілона: приклад на зображенні

На зображенні вище ви можете бачити приклад перелому пілона, поєднаного із переломом малогомілкової кістки вище синдесмозу (перелом Мезонева).

Симптоми

Якщо у вас зламаний гомілково-ступеневий суглоб, наявне наступне:

  • ви відчуваєте різкий, пульсуючий біль; ділянка травми чутлива при пальпації;
  • ваша гомілка у ділянці суглоба набрякла, наявне почервоніння та синці;
  • ви бачите деформацію у ділянці травми;
  • ви відчуваєте крепітацію (рух кісткових уламків);
  • ви маєте труднощі при стоянні або ходьбі, або ж ваша кінцівка є неопороздатною;
  • ви відчуваєте оніміння та парестезії у ділянці травми та нижче неї.

Діагностика

Окрім збору скарг та анамнезу, огляду, лікар ортопед-травматолог може провести об’єктивне дослідження: оцінити вираженість больового синдрому при осьовому навантаженні, пальпації у ділянці травми та вище неї; це особливо актуально, коли клінічна картина у спокої є маловираженою та наявний перелом без зміщення.

Однак ключовими у діагностиці переломів є візуалізаційні методи: рентгенографія, комп’ютерна томографія та, в меншій мірі, магнітно-резонансна томографія.

Рентгенографія. При рентгенографії оцінюються стан кортикальних шарів кісток, наявність чи відсутність уламків, талокруральний кут, медіальний та тібіофібулярний простори суглоба.

Рентген-орієнтири при оцінці гомілково-ступеневого суглоба

Більшість переломів гомілково-ступеневого суглоба можна діагностувати за цим алгоритмом. Залежно від типу перелому та клінічної картини, лікар може натиснути на гомілково-ступеневий суглоб та після цього виконати рентгенографію; цей метод називається стрес-рентгенографія. Він дозволяє оцінити стан синдесмозу.

Також може бути призначена рентгенографія вище та нижче ділянки перелому, аби переконатися у відсутності інших пошкоджень.

Комп’ютерна томографія. Дослідження виконується, коли рентгенографія є неінформативною (як правило при багатовідламкових переломах та при підозрі внутрішньосуглобового перелому); також КТ необхідна для передопераційного планування.

Магнітно-резонансна томографія. Використовується для оцінки пошкоджень м’яких тканин (зв’язки, сухожилки) та може застосовуватись у разі наявності клінічної картини при відсутності патології кісткової тканини.

Ультразвукове дослідження. Може використовуватись для виключення пошкодження м’яких тканин та верифікації проходження судин.

Лікування

Тактика лікування залежить від типу перелому, його локалізації та складності.

Консервативне лікування

У тому випадку, коли наявний перелом без зміщення, травмовану кінцівку іммобілізують гіпсовою або пластиковою лонгетою на термін від 4 до 6 тижнів; у цей період кожні 10 днів виконується рентген-контроль для засвідчення правильного гоєння кістки.

Зовнішня фіксація

У тому випадку, коли перелом є відкритим або супроводжується значним набряком (особливо при складних переломах, як перелом пілона) використовують зовнішню фіксацію стержневим апаратом зовнішньої фіксації.

Зовнішня фіксація при переломі пілона

Сутність втручання полягає у репозиції зламаних кісток та введенні стержнів у кістки гомілки та стопи з їх подальшою фіксацією балками; металева конструкція переймає на себе більшу частину навантаження на кістки.

Це дозволяє відстрочити внутрішню фіксацію на термін, достатній для гоєння відкритих ран та сходження набряку. У випадку тривалого гоєння рани цей метод може розглядатись як кінцевий.

Недоліком є те, що гвинти проходять через шкіру, стаючи потенційними воротами для інфекційних збудників, тому пріорітетним часто є перехід на інший метод фіксації.

Внутрішня фіксація

Внутрішня фіксація передбачає використання металоконструкцій, які з’єднують співставлені фрагменти між собою. Фіксації обов’язково має передувати репозиція кісткових фрагментів, що потребує значного досвіду та інструментарію.

Інколи фіксація може бути малоінвазивною, що означає менший розріз шкіри та коротший реабілітаційний період; однак ця опція доступна не завжди.

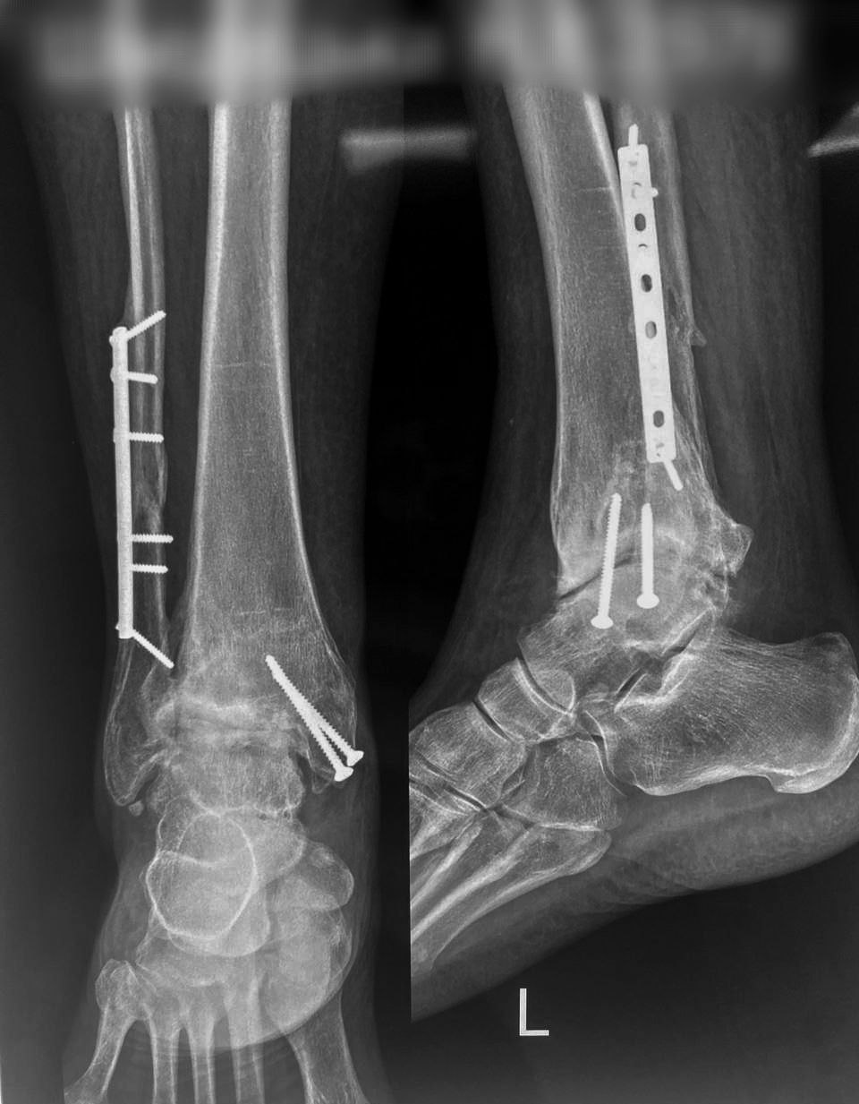
Внутрішня фіксація пластинами та гвинтами: приклад

Артродезування

Показане при значному хронічному больовому синдромі та деформації гомілково-ступеневого суглоба. Це дозволяє підвищити якість життя та зберегти функцію кінцівки.

Сутність артродезування полягає у фіксації гомілково-ступеневого суглоба гвинтами, стержнем або апаратом зовнішньої фіксації.

Варіанти артродезування гомілково-ступеневого суглоба

Обсяг рухів у суглобі після артродезування

Реабілітація та прогноз

Для загоєння перелому потрібно близько 6–8 тижнів залежно від його складності та стану організму; для загоєння м’яких тканин може знадобитись більше часу.

Протягом цього часу рекомендується ходьба з милицями та відсутність навантаження на травмовану кінцівку, оскільки це може призвести до ускладнень, таких як зміщення металоконструкції та кісткових фрагментів.

По завершенню цього терміну необхідно провести повторне рентгенологічне дослідження для підтвердження правильного зрощення, після чого варто почати лікувальну фізкультуру та розробку гомілково-ступеневого суглоба.

Дуже важливо дотримуватись лікарських рекомендацій, оскільки це дозволить не лише уникнути ускладнень, але й повернутись до звичного життя у найкоротші терміни.

Отримайте професійну консультацію

Запишіться на прийом до наших фахівців. Ми проведемо обстеження та дамо рекомендації щодо лікування.

Потрібна консультація ортопеда?

Запишіться на прийом до наших фахівців

Зателефонувати +38 (066) 875-88-58
Онлайн запис Записатися на прийом